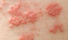
Die Nesselsucht, von den Medizinern auch als Urtikaria und umgangssprachlich als Nesselfieber bezeichnet, stellt eine sehr häufig vorkommende Störungen der Haut dar, welche sich zumeist durch einen Hautausschlag mit roten Quaddeln, Schwellungen und durch weitere begleitende Beschwerden, wie einen starken Juckreiz, zeigt. Grundsätzlich handelt es sich bei der Nesselsucht jedoch nicht um eine Hautkrankheit, sondern um eine sogenannte Autoimmunstörung, durch welche die oftmals stark belastenden Symptome ausgelöst werden.
Die Auslöser der Urtikaria
Die Urtikaria und ein hiermit verbundener Hautausschlag mit den bereits erwähnten Schwellungen und Quaddeln sowie dem Juckreiz, entsteht nach Vermutung der Mediziner durch eine Fehlinterpretation körpereigener Eiweiße, die vom eigenen Immunsystem als Fremdkörper definiert werden. Hierbei sind vor allem die Mastzellen im Körper maßgeblich an der Fehlreaktion beteiligt, denn diese Zellen sondern bei einer Nesselsucht vermehrt Histamin ab, wodurch die Symptome der Urtikaria entstehen. Doch welche Faktoren die Mastzellen zur vermehrten Ausschüttung von Histamin veranlassen, konnte bis heute nicht eindeutig geklärt werden. Häufig kann das Nesselfieber durch eine Nahrungsmittelunverträglichkeit oder durch eine Allergie entstehen, doch nicht selten bleiben die Ursachen für die Nesselsucht leider im Dunkeln.
Wie kann ein Nesselfieber handelt werden?
Glücklicherweise finden sich unterschiedliche naturmedizinische Möglichkeiten für die Behandlung von einem Nesselfieber, wie beispielsweise die Einnahme von konzentriertem Magnesium. Auch Roibuschtee kann eine Urtikaria lindern und eventuell auch verhindern. Schulmedizinisch werden die Beschwerden zumeist mit Antihistaminika behandelt. Der Hautausschlag und der Juckreiz durch ein Nesselfieber lassen sich natürlich auch lokal mit einer speziellen Salbe behandeln, wobei die eigentliche Therapie grundsätzlich nicht auf die alleinige Behandlung dieser Symptome, sondern auf die Beseitigung der tatsächlichen Ursachen für die Nesselsucht abzielen sollte, damit keine chronische Urtikaria aufkommt. Entstehen die Quaddeln oder Schwellungen auf der Haut durch bestimmte Nahrungsmittel, so muss von einem Arzt überprüft werden, ob nicht eine Allergie oder Lebensmittelunverträglichkeit, wie eine Laktoseintoleranz, vorliegt.
Salicylate und die Nesselsucht
Viele Nahrungsmittel enthalten sogenannte Salicylate, welche beispielsweise in unreifem Gemüse und Obst vorkommen. Diese Stoffe geraten immer mehr unter Verdacht, bei anfälligen Menschen mit einer gestörten Immunabwehr eine Nesselsucht auszulösen und die typischen Symptome der Urtikaria hervorzurufen. Daher sollten Menschen, die Probleme mit einer immer wiederkehrenden Nesselsucht aufweisen, weitgehendst nur ausgereiftes Obst und Gemüse konsumieren!
Mussten Sie bereits Erfahrungen mit einer Urtikaria machen und wie haben Sie die Beschwerden in den Griff bekommen? Ich bin sehr auf Ihre Kommentare gespannt!
Viele Grüße
Gesund24h


Hallo!
Ich bin zufällig auf diesen Bericht gestossen. Ich habe eine sehr seltene art von Nesselsucht, ich kann kein Sport treiben, im Winter spazieren oder zur Sauna gehen, ohne das mir mein ganzen Körper juckt und so unerträglich wird, das ich kurz vor Ohnmacht bin oder den Wunsch zur erbrechen und die Haut rauszureißen. Ich bin 40 und seid ich 5 Jahre alt bin leide ich daran. Die Ärzte wussten nicht was es war, ich konnte nie lange rennen ohne das meine haut unerträglich gejuckt hat, mit 35 hat mein Hausarzt mir das Aerius verschrieben und seid dem nehme ich Antihistaminika, mit 2 Tabletten kann ich joggen gehen und mit 1 kann ich walken, und es juckt gar nicht oder wenig. Ich muss zugeben meine Mutter hat die gleiche Symptome und meine Schwester auch. Ich finde es schade das die Ärzte zu wenig oder gar nicht über diese Krankheit wissen und erforschen.
Sorry für die Rechtschreibung, ich bin Brasilianerin aber lebe in Deutschland.
Lieber Gruss